Viral: అప్పుడే పుట్టిన బిడ్డ కడుపులో వింత ఆకారం.. స్కాన్ చేసి కళ్లు తేలేసిన డాక్టర్లు
అప్పుడే పుట్టిన బిడ్డ కడుపు అసాధారణ రీతిలో భారీగా పెరిగిపోయింది. అసలేం జరిగిందో ఎవ్వరికీ అర్ధం కాలేదు. పాప ఏమో ఎలాంటి లక్షణాలు చూపించలేదు. కంగారుపడిన కుటుంబ సభ్యులు వెంటనే ఆమెను ఆస్పత్రికి తరలించారు. ఇక ఆ తర్వాత జరిగిందిదే.. అదేంటో ఈ స్టోరీలో తెలుసుకుందామా..

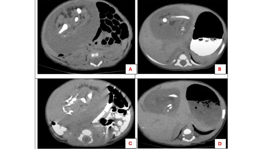
అప్పుడే పుట్టిన నవజాత శిశువు గర్భంలో పరాన్నజీవి కవల పిల్లలు పెరుగుతున్నట్లు వైద్యులు గుర్తించి గట్టి షాక్ తిన్నారు. ఆ ఆడబిడ్డ 11 రోజుల వయసులోనే ఆస్పత్రిలో చేరింది. ఆమె కడుపు ఉబ్బిపోయి.. పరిమాణం భారీగా పెరుగుతుండటంతో కుటుంబ సభ్యులు తీవ్రంగా ఆందోళన చెందారు. డాక్టర్లు వెంటనే అల్ట్రాసౌండ్ చేయగా 8*6 సెంటీమీటర్ల పరిమాణంలో ఉన్న ఓ ముద్దను కనుగొన్నారు. ఆ ముద్ద మృదువుగా.. అలాగే స్థిరంగా పెరుగుతుండటం గమనించారు. అలాగే పాప ఊపిరి తీసుకుంటున్న సమయంలో అది అస్సలు కదల్లేదని గుర్తించారు. డౌట్ వచ్చిన డాక్టర్లకు మరోసారి కాంట్రాస్ట్-ఎన్హాన్స్డ్ కంప్యూటెడ్ టోమోగ్రఫీ స్కాన్ తీయగా.. ఈసారి పొడవైన ఎముకలు, పక్కటెముకలు, వెన్నుపూస, కటి ఎముకలు, మృదు కణజాలాలను పోలి ఉండే వికృతమైన అస్థిపంజర ఆకారాన్ని చూపించింది.
ఇది చదవండి: మహిళ స్నానం చేస్తుండగా మెరిసిన ఏదో లైట్.. ఏంటా అని పరిశీలించగా
వైద్యులు దానిని పిండంలో పిండం పెరుగుతున్నట్టుగా నిర్ధారించడమే కాకుండా.. ఇది చాలా అరుదు అని అన్నారు. శరీరం లోపల వికృతమైన పరాన్నజీవి కవలలు అభివృద్ధి చెందినప్పుడు సంభవించే చాలా అరుదైన క్రమరాహిత్యంగా గుర్తించారు. శస్త్రచికిత్స నిర్వహించి.. సుమారు రెండు గంటల అనంతరం వికృతమైన ఆ ఆకారాన్ని డాక్టర్లు తొలగించారు. మైక్రోస్కోపిక్ పరీక్ష ద్వారా దానిని ‘పరిణతి చెందిన పిండ కణజాలం’ ఉందని.. చర్మం, ప్రేగులు కూడా ఉన్నాయని డాక్టర్లు తేల్చారు. ఆశ్చర్యమేమిటంటే.. ఆ పాపకు ఎలాంటి లక్షణాలు కనబడలేదు. బాగానే తిన్నది అని అన్నారు. ఆసుపత్రిలో చేరిన నాలుగు రోజుల తర్వాత ఆ పాప కడుపులోంచి ఆ ముద్దను తొలగించారు. అసాధ్యమైన రీతిలో ఆమెను ఆపై ఆరోగ్యవంతంగా డిశ్చార్జ్ చేశారు. ఈజిప్టులోని మన్సౌరా యూనివర్సిటీ పీడియాట్రిక్ విభాగంలో చికిత్స పొందిన ఈ పాప గురించి అక్టోబర్ మెడికల్ జర్నల్లో పొందుపరిచారు.
ఇది చదవండి: రోడ్డుపై పిండం పెట్టారనుకునేరు.. కాస్త జూమ్ చేసి చూడగా కళ్లు తేలేస్తారు





