Teeth Precautions: కేవిటీ సమస్యను ఈజీగా తీసుకుంటున్నారా.. పళ్ల మొత్తంపై ఎఫెక్ట్ పడుతుంది!
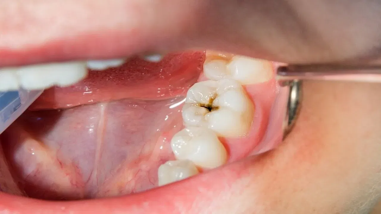
ప్రస్తుత కాలంలో దంత సమస్యలు బాగా పెరిగి పోతున్నాయి. సరైన ఆహారం తీసుకుంటేనే శరీరంలో అన్ని భాగాలు సరిగ్గా పని చేస్తాయి. లేదంటే దీర్ఘకాలికంగా అనేక అనారోగ్య సమస్యలను ఎదుర్కొనాల్సి ఉంటుంది. దానికి తోడు డెంటల్ కేర్ సరిగ్గా లేకపోవడం వల్ల కూడా వీటికి కారణాలు అవుతున్నాయి. చాలా మంది పళ్లను నిర్లక్ష్యం చేస్తారు. దీని వల్ల దీర్ఘ కాలంలో ఇబ్బందులు ఎదుర్కొనాల్సి ఉంటుంది. కేవిటీ, పళ్ల సెన్సిటీవిటి, చిగుళ్ల సమస్యలు ఉన్నప్పుడు సరైన చికిత్స తీసుకోకపోతే..

1 / 5

2 / 5

3 / 5

4 / 5

5 / 5
