Viral: సరదా.. సరదాగా నాణేన్ని మింగేశాడు.. కట్ చేస్తే.. ఎక్స్రే చూడగా డాక్టర్లు పరేషాన్.!
పిల్లలు చేసే అల్లరి అంతా ఇంతా కాదు.. ఒక చోట కూర్చోపెడితే కుదురుగా కూర్చోరు.. చేతికి ఏది దొరికితే.. దానితో ఆట ఆడుకోవడమే కాదు.. చటుక్కున నోట్లో పెట్టేసుకుంటారు కూడా.. అలాంటప్పుడు కొన్నిసార్లు వారి ప్రాణాలకే ముప్పు రావచ్చు. సరిగ్గా ఇలాంటిదే ఓ సంఘటన.. అదేంటో ఇప్పుడు తెలుసుకుందామా..

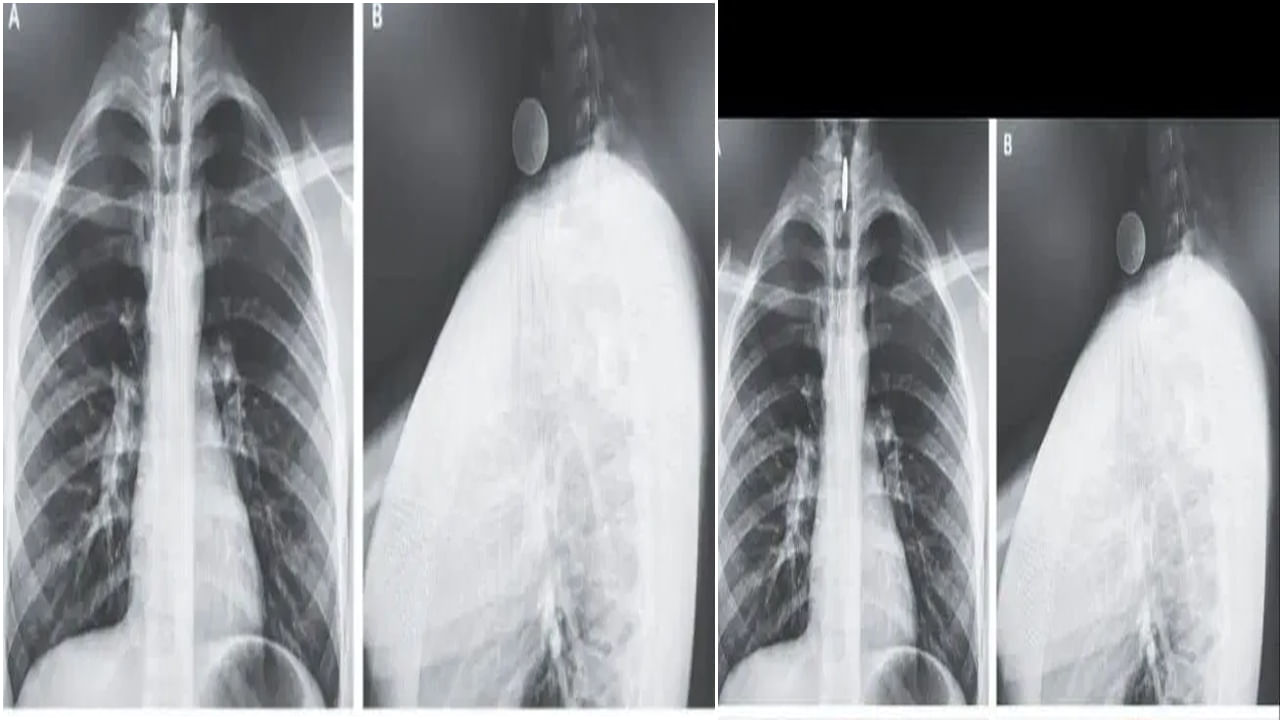
పిల్లలు చేసే అల్లరి అంతా ఇంతా కాదు.. ఒక చోట కూర్చోపెడితే కుదురుగా కూర్చోరు.. చేతికి ఏది దొరికితే.. దానితో ఆట ఆడుకోవడమే కాదు.. చటుక్కున నోట్లో పెట్టేసుకుంటారు కూడా.. అలాంటప్పుడు కొన్నిసార్లు వారి ప్రాణాలకే ముప్పు రావచ్చు. సరిగ్గా ఇలాంటిదే ఓ సంఘటన అమెరికాలో చోటు చేసుకుంది. ఓ 14 ఏళ్ల బాలుడు ఆడుకుంటూ.. అమాంతం ఓ నాణేన్ని మింగేశాడు. కట్ చేస్తే.. డాక్టర్లు ఎక్స్రే తీసి అది ఎక్కడ ఇరుక్కుందో చూడగా.. దెబ్బకు షాక్ అయ్యారు.
వివరాల్లోకెళ్తే.. న్యూ ఇంగ్లాండ్ జర్నల్ ఆఫ్ మెడిసిన్లో ప్రచురించిన నివేదిక ప్రకారం.. కాలిఫోర్నియాకు చెందిన 14 ఏళ్ల బాలుడు సరదాగా ఆడుకుంటూ ఓ నాణేన్ని మింగేశాడు. ఇక్కడ ఆశ్చర్యకరమైన విషయమేంటంటే.. ఎక్స్రే తీసిన డాక్టర్లు.. అది ఇరుక్కున్న ప్రదేశం చూసి దెబ్బకు షాక్ అయ్యారు. ఆ నాణెం అన్నవాహికలో కాకుండా స్వరపేటికలో ఇరుక్కుపోయింది. దీంతో అతడు తినేటప్పుడు, మాట్లాడేటప్పుడు గానీ ఎలాంటి ఇబ్బంది పడలేదు. కుటుంబసభ్యులు ఆ బాలుడిని ఆసుపత్రికి తీసుకురాగా.. అక్కడి డాక్టర్లు అతడికి ఎక్స్రే తీసి కాయిన్ ఎక్కడ ఇరుక్కుందో చూశారు. కెమెరా సాయంతో ఫోర్సెప్స్ ద్వారా ఆ నాణేన్ని జాగ్రత్తగా బయటకు తీశారు. ఆపరేషన్ అనంతరం బాలుడి ఆరోగ్యం కుదుటపడిందని.. ఎలాంటి ఇబ్బందులు లేకపోవడంతో అతడ్ని డిశ్చార్జ్ చేసి ఇంటికి పంపించామని డాక్టర్లు చెప్పారు.(Source)
