Hyderabad: విపరీతమైన దగ్గు, బరువు తగ్గిపోతున్నాడు.. ఆస్పత్రికి వెళ్లగా.. స్కాన్ చేసిన డాక్టర్లు షాక్
అతనికి నెల రోజులుగా విపరీతమైన దగ్గు వస్తుంది. ఏ పని చేస్తున్నా దగ్గు మాత్రం ఆగడం లేదు. బరువు కూడా రోజురోజుకు తగ్గిపోతున్నాడు. నిద్ర పట్టని పరిస్థితికి వచ్చేశాడు. స్థానికంగా ఉన్న ఓ ఆస్పత్రికి వెళ్లగా.. అక్కడ టెస్టులు చేసిన డాక్టర్లు.. లోపల ఇన్ఫెక్షన్ సోకినట్లు అనిపించడంతో.. వెంటనే హైదరాబాద్కు పంపారు. ఇక్కడి కొండాపూర్ కిమ్స్ డాక్టర్లు అతని ఆరోగ్య పరిస్థితిని పూర్తిగా విశ్లేషించారు.

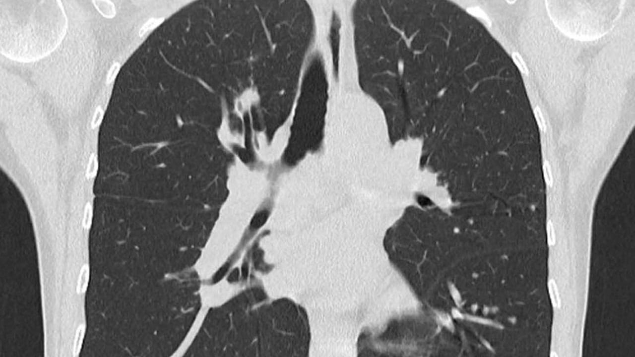
కరీంనగర్ ప్రాంతానికి చెందిన 26 ఏళ్ల యువకుడు.. తనకు ఐదేళ్ల వయసు ఉన్నప్పుడు ఆడుకుంటూ పెన్ క్యాప్ మింగేశాడు. గత నెల రోజుల నుంచి దగ్గు రావడం, బరువు తగ్గిపోవడం లాంటి లక్షణాలతో బాధపడుతున్నాడు. పది రోజులుగా దగ్గు విపరీతంగా పెరిగిపోయి, నిద్రపోవడానికి కూడా ఏమాత్రం వీలు కాకపోవడంతో వైద్యులకు చూపించగా.. సీటీ స్కాన్ తీయించారు. అప్పుడు ఛాతిలో ఎడమవైపు కిందిభాగంలో ఇన్ఫెక్షన్ ఉన్నట్లు తెలిసింది. దాంతో వాళ్లు హైదరాబాద్ పంపారు. ఇక్కడ కొండాపూర్ కిమ్స్ ఆస్పత్రిలో ఆ యువకుడికి సీటీ స్కాన్ చేసి, విషయం తెలుసుకుని దానికి చికిత్స చేసిన కన్సల్టెంట్ క్లినికల్, ఇంటర్వెన్షనల్ పల్మనాలజిస్ట్ డాక్టర్ శుభకర్ నాదెళ్ల ఇందుకు సంబంధించిన వివరాలు తెలిపారు.
“ఆ యువకుడు ఇక్కడకు వచ్చినప్పుడు ముందుగా సీటీ స్కాన్ చేశాం. అప్పుడు లోపల ఏదో ఒక గడ్డలా కనిపించింది. ఆ గడ్డ వల్లే ఊపిరితిత్తుల వద్ద ఆటంకం ఏర్పడి… దగ్గు వస్తోందని భావించాం. దాన్ని తీసేందుకు ప్రయత్నిస్తూ లోపల చూసేసరికి.. పెన్ క్యాప్ కనిపించింది. దాంతో ప్రొసీజర్ మధ్యలోనే ఆ యువకుడి అన్నను లోపలకు పిలిచి, గతంలో ఏమైనా మింగాడా అని అడిగాం. అప్పుడు.. ఐదేళ్ల వయసులో ఉండగా పెన్ క్యాప్ మింగేశాడని, అప్పట్లో తానే వైద్యుడి వద్దకు తీసుకెళ్తే అక్కడ పరీక్షించి లోపల ఏమీ లేదని.. బహుశా మలంతో పాటు వెళ్లిపోయి ఉండొచ్చని చెప్పారన్నాడు. దాంతో దాదాపు మూడు గంటల పాటు కష్టపడి, ఫ్లెక్సిబుల్ బ్రాంకోస్కొపీ సాయంతో ముందుగా దాని చుట్టూ పేరుకుపోయిన కణజాలాలు, లింఫ్నోడ్, కండలను కొద్దికొద్దిగా తొలగించాం. క్రమంగా అదంతా క్లియర్ అయిన తర్వాత అప్పుడు ఆ ప్లాస్టిక్ పెన్ క్యాప్ను కూడా బయటకు తీసేశాం. ఇన్ని సంవత్సరాల పాటు అలా ఒక ఫారిన్ బాడీ లోపల ఉండిపోవడం వల్ల ఊపిరితిత్తులు కూడా కొంత దెబ్బతిన్నాయి. అయితే, అక్కడ దెబ్బతిన్న ఇతర భాగాలను సరిచేసేందుకు యాంటీబయాటిక్స్ వాడాం. దాంతో అతను కోలుకున్నాడు.

Pen Cap
ఇలాంటివి అలా ఎక్కువ కాలం ఉండిపోవడం మంచిది కాదు. ఇతను ఇప్పుడు కూడా రాకపోయి ఉండి, అలాగే వదిలేస్తే దాని చుట్టూ కణజాలం పేరుకుపోతుంది. ఊపిరితిత్తి మొత్తం పాడైపోతుంది. అప్పుడు దాన్ని శస్త్రచికిత్సతో పాడైన భాగాన్ని కోసేయాల్సి ఉంటుంది. అదృష్టవశాత్తు ముందే గుర్తించడంతో మందులతోనే దాన్ని సరిచేయగలిగాం. చిన్నపిల్లలు ఆడుకునేటప్పుడు వాళ్లు ఏం చేస్తున్నారో, నోట్లో ఏం పెట్టుకుంటున్నారో గమనించుకోవాలి. అలాంటివి ఏవైనా ఉంటే వెంటనే వైద్యుల వద్దకు తీసుకెళ్లి, దాన్ని తీయించాలి. లేకపోతే ఇలాంటి తీవ్రమైన సమస్యలు వస్తాయి” అని డాక్టర్ శుభకర్ నాదెళ్ల తెలిపారు.
మరిన్ని తెలంగాణ వార్తల కోసం ఇక్కడ క్లిక్ చేయండి




