
ప్రస్తుత కాలంలో దంత సమస్యలు బాగా పెరిగి పోతున్నాయి. సరైన ఆహారం తీసుకుంటేనే శరీరంలో అన్ని భాగాలు సరిగ్గా పని చేస్తాయి. లేదంటే దీర్ఘకాలికంగా అనేక అనారోగ్య సమస్యలను ఎదుర్కొనాల్సి ఉంటుంది. దానికి తోడు డెంటల్ కేర్ సరిగ్గా లేకపోవడం వల్ల కూడా వీటికి కారణాలు అవుతున్నాయి. చాలా మంది పళ్లను నిర్లక్ష్యం చేస్తారు. దీని వల్ల దీర్ఘ కాలంలో ఇబ్బందులు ఎదుర్కొనాల్సి ఉంటుంది. కేవిటీ, పళ్ల సెన్సిటీవిటి, చిగుళ్ల సమస్యలు ఉన్నప్పుడు సరైన చికిత్స తీసుకోకపోతే.. ప్రమాదకరంగా మారుతుంది.

అలాగే స్మోకింగ్, గుట్కా, పాన్, మద్య పానం చేయడం వంటి చెడు అలవాట్లు కూడా పళ్లపై ఎఫెక్ట్ చూపిస్తాయి. సాధారణంగా ఈ సమస్యలు ఎక్కువగా రూరల్ ప్రాంతాల్లో కనిపిస్తాయి. పంటి సమస్యలు చిన్నవైనా.. వాటిని నిర్లక్ష్యం చేస్తే మాత్రం అవే పెద్దవిగా తయారవుతాయి.

పెద్ద వాళ్లలోనే కాదు.. చిన్న పిల్లల్లో కూడా ఈ సమస్యలు కనిపిస్తాయి. పాల బాటిల్ తో పాలు తాగే పిల్లల్లో అయితే ముందు ఉన్న నాలుగు పళ్లు పాడైపోతూంటాయి. పాల బాటిల్ నుంచే పళ్లు పాడవడం ప్రారంభం అవుతాయని వైద్యులు అంటున్నారు. అందుకే పాల బాటిల్ తో పాలు తాగే పిల్లల పళ్లు.. క్లీన్ చేస్తూ ఉండాలి.

సాధారణంగా అందరూ కేవలం రోజుకు ఒకసారి మాత్రమే పళ్లను క్లీన్ చేస్తూ ఉంటారు. కానీ రోజుకు రెండు సార్లు క్లీన్ చేయాలని వైద్యులు సూచిస్తూ ఉంటారు. రాత్రి పళ్లను క్లీన్ చేయడం వల్ల ఎక్కువగా బ్యాక్టీరియా ఎటాక్ అవ్వకుండా ఉంటాయి. అంతే కాకుండా పంటి గ్యాప్స్ లో కూడా క్లీన్ చేస్తూ ఉండాలి.

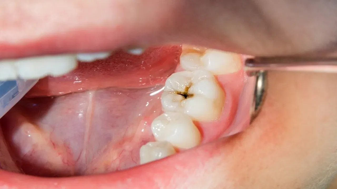
అలాగే నాలుకను కూడా క్లీన్ చేసుకుంటూ ఉండాలి. అలాగే పళ్లలో కేవిటీ వచ్చినప్పుడు వెంటనే వైద్యులను సంప్రదిస్తే.. పళ్లు పాడవకుండా ఉంటాయి. కేవిటీని నిర్లక్ష్యం చేస్తే.. కేవిటీలో ఉండే బ్యాక్టీరియా ఇతర పళ్లకు చేరి.. అవి కూడా పాడయ్యేలా చేస్తాయి. కాబట్టి పళ్లకు సంబంధించి ఎలాంటి సమస్యలను ఎదుర్కొన్నా.. వైద్యులను సంప్రదించడం మేలు.