Viral: విపరీతమైన కడుపునొప్పి, బరువు తగ్గిపోతోంది.. ఆస్పత్రికి తీసుకెళ్లి.. CT స్కాన్ చేయగా
సదరు యువతికి తీవ్రమైన కడుపు నొప్పి, తరచూ బరువు తగ్గిపోతోంది. ఏమైందో ఏంటో.. కుటుంబీకులకు అర్ధం కాలేదు.. వెంటనే ఆస్పత్రికి తీసుకెళ్లారు. అక్కడ డాక్టర్లు CT స్కాన్ చేయగా.. దెబ్బకు అందులో కనిపించింది చూసి షాక్ అయ్యారు. ఇంతకీ ఏం జరిగిందో.. ఇప్పుడు చూద్దాం..

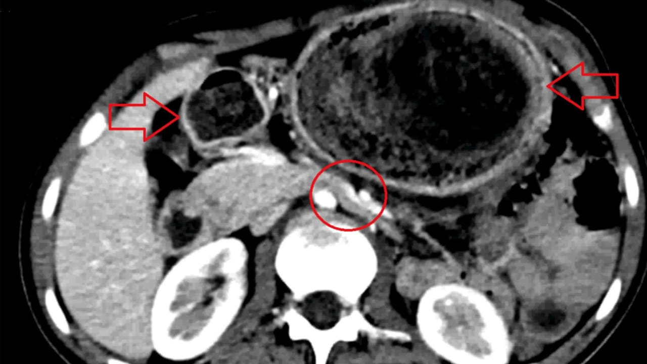
ఓ టీనేజర్ కడుపు నుంచి 4 పౌండ్ల బరువున్న భారీ వెంట్రుకల ముద్దను తొలగించారు డాక్టర్లు. ఆమె చిన్ననాటి నుంచి ట్రైకోటిల్లోమానియా అనే వ్యాధితో బాధపడుతోందని చెప్పారు. ఈ జబ్బు ఉన్నవారు జుట్టును తరచూ నమలడం, తినడం లాంటివి చేస్తారని చెప్పారు. దీని ఫలితంగానే ఆమె కడుపులో వెంట్రుకల ముద్ద ఏర్పడిందని తెలిపారు. CT-స్కాన్లో డాక్టర్లు ఈ హెయిర్బాల్ గుర్తించేసరికి.. సదరు యువతికి మానసిక చికిత్స పూర్తయిందట. ఈ వ్యాధి కారణంగా ఆమెకు తరచూ బరువు తగ్గడం, తీవ్రమైన కడుపు నొప్పి లాంటి లక్షణాలు వచ్చాయట.
గడిచిన ఆరు వారాల నుంచి తీవ్రమైన పొత్తికడుపు నొప్పితో ఆ 19 ఏళ్ల యువతి ఆస్పత్రిలో జాయిన్ అయింది. నొప్పి ఒక వారం పాటు కొనసాగగా.. రెండు నెలల పాటు ఆహారం తీసుకున్న వెంటనే పదేపదే వాంతులు రావడంతో పాటు, తేలికపాటి అనోరెక్సియా కూడా వచ్చేదట. అల్ట్రాసౌండ్, CT స్కాన్లో ఆ హెయిర్ బాల్ పరిమాణం డాక్టర్లకు స్పష్టంగా తేలింది. సుమారు రెండు గంటల పాటు శస్త్రచికిత్స నిర్వహించి కడుపులో 10 సెం.మీ, 4 పౌండ్ల హెయిర్ బాల్ తొలగించారు. ఈ ఆపరేషన్ అనంతరం.. యువతి పలు ఫ్లూయిడ్స్ ఎక్కించి.. ఆ తర్వాత డిశ్చార్జ్ చేశారు. కాగా, మూడు నెలల పాటు ఫాలో-అప్ తర్వాత సదరు యువతి పూర్తిగా కోలుకుంది.
