Viral: మెడ వాపు, నొప్పితో ఆస్పత్రికి వచ్చిన వ్యక్తి.. ఎక్స్ రే తీసి చూడగా షాక్
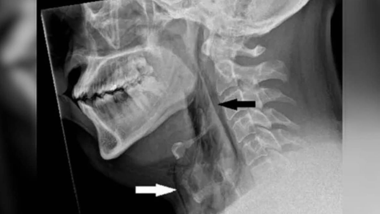
తీవ్రమైన మెడనొప్పి, మెడ అటూ, ఇటూ కదపలేకపోతున్నాడు. మెడ చుట్టూ వాపు కూడా ఉంది. దీంతో వెంటనే డాక్టర్లను సంప్రదించాడు. ఈ ఇబ్బందులు ఉన్నప్పటికీ అతను శ్వాస తీసుకోవడం, మింగడం, మాట్లాడటంలో ఎలాంటి ఇబ్బంది లేదు. దీంతో ఎక్స్ రే, సీటీ స్కాన్ తీశారు డాక్టర్లు. రిపోర్ట్ చూడగా...

మీకు తుమ్ము వచ్చినప్పుడు నలుగురిలో ఉన్నాం కదా అని ఆపడానికి ప్రయత్నిస్తున్నారా..? తస్మాత్ జాగ్రత్త. అలా చేస్తే లేనిపోని ఇబ్బందులు ఎదుర్కొవాల్సి వస్తుంది. ఒక బ్రిటన్ వ్యక్తి.. అలాంటి సమస్యనే ఎదుర్కొన్నాడు. 30 ఏళ్ల ఆ వ్యక్తి ఒకసారి కారులో ప్రయాణిస్తుండగా తుమ్ము వచ్చింది. దాన్ని ఆపేందుకు ముక్కును నొక్కి, నోటిని మూసుకున్నాడు. ఆ సమయంలో అతనికి ఏమి అనిపించలేదు. కానీ ఇలా చేయడం వల్ల అతని గొంతు లోపల పెద్ద గాయమైంది. తుమ్ముతో వచ్చిన ఎక్కువ ఒత్తిడి వల్ల అతని శ్వాసనాళం (గొంతు లోపల ఉన్న గాలి వెళ్లే నాళం) చిట్టడుగుకు పగిలిపోయింది.
ఆ తర్వాత అతనికి మెడ నొప్పి, వాపు వచ్చాయి. మెడ కదలడం కష్టమైపోయింది. దీంతో అతను ఆస్పత్రికి వెళ్లగా.. టెస్టులు చేసిన డాక్టర్లు గొంతులో చిన్న చిల్లు ఉండటాన్ని గుర్తించారు. తుమ్మినప్పుడు… ముక్కు నొక్కి, నోరు మూసుకుని ఆపడం వల్ల.. గొంతులో గాలి చాలా బలంగా నిలిచిపోయింది. ఇది గొంతు లోపల ఒత్తిడి పెంచి పగిలిపోయేలా చేసింది. ఆ వ్యక్తికి శస్త్రచికిత్స అవసరం లేకుండా, కొన్ని రోజులు ఆసుపత్రిలో ఉంచి గమనించారు. రెండు వారాలు శ్రమకు దూరంగా ఉండాలని చెప్పారు. ఐదు వారాల తర్వాత అతని గొంతు పూర్తిగా మామూలు అయ్యింది.
తుమ్ము వస్తే దాన్ని ఆపే ప్రయత్నం అస్సలు చేయకండి. ముక్కు నొక్కడం, నోరు మూసుకోవడం వల్ల గొంతుకు ప్రమాదం కలగొచ్చు. తుమ్ము అనేది సహజమైనది. దాన్ని అడ్డుకోవడం వల్ల శరీరానికి హానికరమవుతుంది. ఈ సంఘటన చెప్పే విషయం ఏంటంటే, చిన్నపాటి చర్యలు కూడా పెద్ద సమస్యలకు దారి తీస్తాయి. అందుకే, తుమ్ము వస్తే స్వేచ్ఛగా తుమ్మండి. (Source)
మరిన్ని అంతర్జాతీయ వార్తల కోసం ఇక్కడ క్లిక్ చేయండి..
