
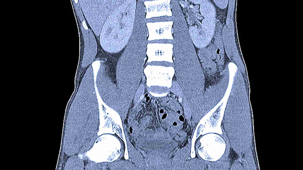
ఆ వ్యక్తికి పుట్టినప్పటి నుంచి మెంటల్ బ్యాలెన్స్ సరిగ్గా లేదు. మాటలు మాట్లాడలేడు. చెవులు కూడా సరిగ్గా వినపడవు. కాగా ఇటీవల కడుపులో విపరీతమైన నొప్పి రావడంతో.. కుటుంబ సభ్యులు అతడిని ఆస్పత్రికి తీసుకొచ్చారు. ఈ క్రమంలో టెస్టులు చేసిన డాక్టర్లు స్టన్ అయ్యారు. అతని పొట్టలో అనేక వ్యర్థాలు ఉండటం చూసి.. నిర్ఘాంతపోయారు. రోగి బాధను బయటకు చెప్పలేక.. ఎంత మదనపడుతున్నాడో అర్థం చేసుకుని.. వెంటనే ఆపరేషన్ చేశారు. అతని కడుపు నుంచి 2 హెన్నా కోన్లు, 15 ప్లాస్టిక్ స్ట్రాస్, దాదాపు 62 చెక్క ముక్కలను రిమూవ్ చేశారు. వివరాల్లోకి వెళ్తే… గుజరాత్(Gujarat) వీరావల్(Veraval)లోని మాల్దా ఏరియాకు చెందిన.. అర్జున్ చంద్పా(40)కు బై బర్త్ మతిస్థిమితం సరిగ్గా లేదు. దీంతో ఫ్యామిలీ మెంబర్స్ అతడిని జాగ్రత్తగా చూసుకుంటూ వస్తున్నారు. అయితే చాలా రోజుల నుంచి చంద్బా ముభావంగా ఉంటున్నాడు. అప్పుడప్పుడు కడుపు నొప్పితో విలవిల్లాడుతున్నాడు. దీంతో బంధువులు జునాగఢ్(Junagadh) గవర్నమెంట్ ఆస్పత్రికి తీసుకెళ్లారు. బాధితుడికి సీటీ స్కాన్ చేసి కడుపులో అనేక వస్తువులు ఉన్నట్లు గుర్తించారు. పరిస్థితి విషమించికముందే ఆపరేషన్ చేయాలని డిసైడయ్యారు. 2 గంటల పాటు శస్త్రచికిత్స నిర్వహించి.. అతని కడుపు నుంచి 15 ప్లాస్టిక్ స్ట్రాలు, 2 హెన్నా కోన్లు, 62 చెక్కముక్కలు బయటకు తీశారు. ఇవన్నీ అతడి కడుపులో ఒక గడ్డ మాదిరిగా మారాయి. సరైన అవగాహన లేక బాధితుడు వాటిని మింగి ఉంటాడని అని వైద్యులు తెలిపారు.
Patient
మరిన్ని జాతీయ వార్తల కోసం ఈ లింక్ క్లిక్ చేయండి..