
జీవితం చాలా చిన్నది గురూ.! ఉన్నదానితో ఎంజాయ్ చెయ్యి బ్రో అని అంటుంటారు. ఎప్పుడు.. ఎలా.. చావు ముంచుకొస్తుందో ఎవ్వరం చెప్పలేం. అందుకే జీవితానికి ఎలాంటి హామీ లేదని చెప్పడంలో అతిశయోక్తి లేదు. తాజాగా ఈ తరహ ఘటన ఒకటి వెలుగులోకి వచ్చింది. ఓ చిన్నారి తన తల్లితో గోళ్లకు పెయింట్ వేయించుకుంటుండగా.. జరగరానిది జరిగింది. అస్సలు ఆ కుటుంబం ఈ హఠాత్పరిణామం ఊహించలేదు. అదేంటంటే.. ఆ వివరాలు ఇలా..
ఇంగ్లాండ్లోని ఎల్లెస్మెర్ పోర్ట్ నివాసి అయిన 5 ఏళ్ల ఎల్లా.. సంతోషంగా తన తల్లి గెమ్మ గ్రిఫిత్స్తో చేతి వేళ్లకు నెయిల్ పాలిష్ చేయించుకుంటోంది. అయితే ఏం జరిగిందో ఏమో గానీ.. అనూహ్యంగా కొద్దిసేపటికి ఆమె శ్వాస ఆగిపోయి.. అపస్మారక స్థితికి చేరుకుంది. ఆ వెంటనే తల్లి ఆమెకు CPR చేసినా ఎలాంటి ప్రయోజనం లేకపోయింది. దీంతో హుటాహుటిన ఎల్లాను స్థానికంగా ఉన్న ఓ ఆసుపత్రికి తీసుకెళ్లారు. డాక్టర్లు సదరు చిన్నారికి పరీక్షలు చేయగా.. ఆమె కోమాలోకి వెళ్లిందని బాంబ్ పేల్చారు.
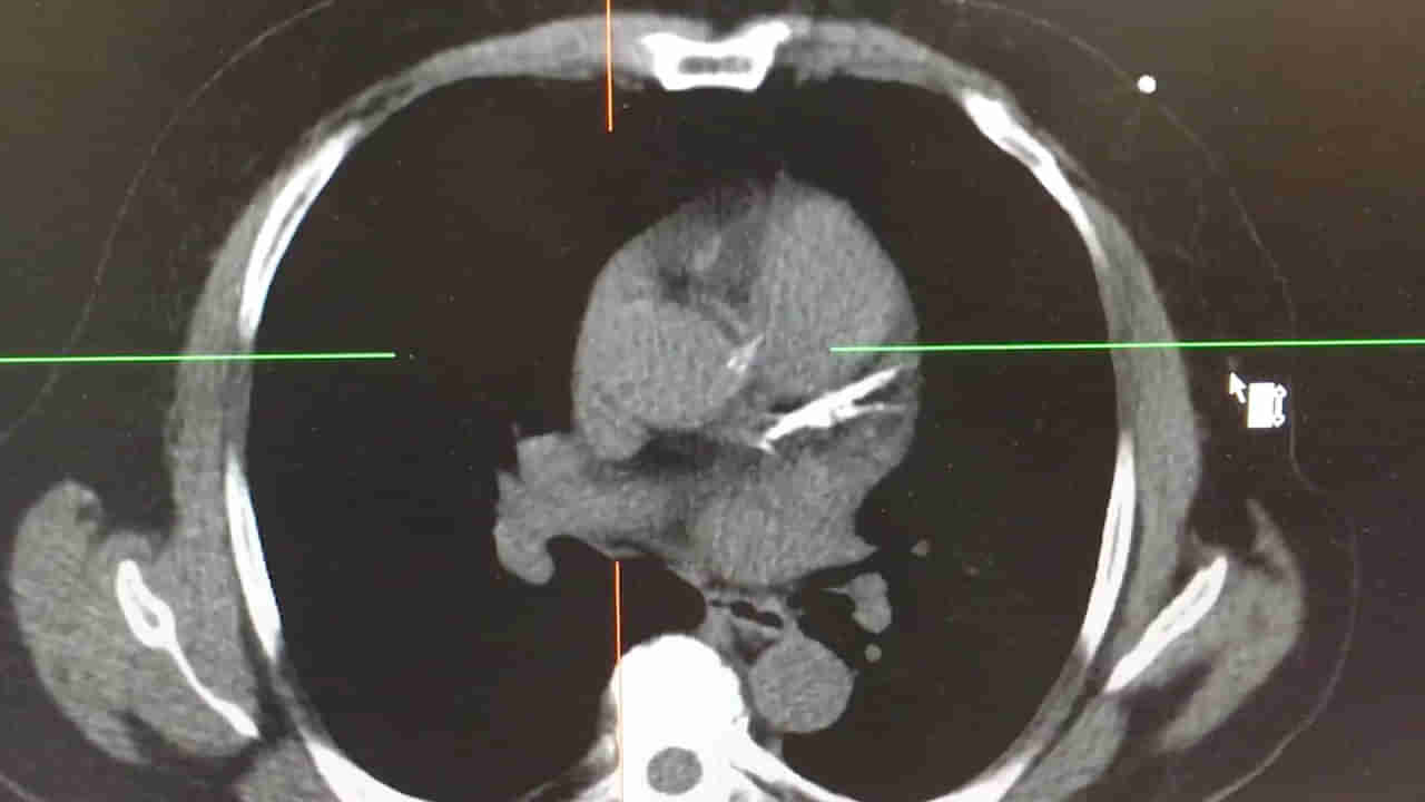
వైద్యులకు మొదటిగా ఆమె పరిస్థితి అర్ధంకాలేదు. అయితే చిన్నారికి CT స్కాన్ చేసిన అనంతరం ఆమెకు రెండోసారి గుండెపోటు వచ్చిందని తేల్చారు. ఆ చిన్నారి పరిస్థితి చూసి వైద్యులు సైతం ఆశ్చర్యపోయారు. ఆ సమయంలో ఎల్లామే కాటెకోలమినెర్జిక్ పాలిమార్ఫిక్ వెంట్రిక్యులర్ టాచీకార్డియా(CPVT) అనే అరుదైన వ్యాధితో బాధపడుతున్నట్లు గుర్తించారు. దీని వల్ల హార్ట్ రేటులో హెచ్చుతగ్గులు ఉండటమే కాకుండా గుండెపోటు వంటి వ్యాధులు కూడా వచ్చే అవకాశం ఉందట.
మరోవైపు చిన్నారి అలసిపోవడానికి గల కారణాలను ఆమె తల్లిని అడిగి తెలుసుకున్నారు డాక్టర్లు. ఆ ముందు రోజు రాత్రి హాలోవీన్ పార్టీలో ఎల్లా చాలా అలసిపోయి ఇంటికి వచ్చిందని ఆమె తల్లి చెప్పుకొచ్చింది. దీంతో డాక్టర్లు ఎల్లాకు వెంటనే శస్త్రచికిత్స నిర్వహించి.. గుండెకు దగ్గరగా ఉన్న సిరను కత్తిరించి దానిలోకి అడ్రినలిన్ ఇంజెక్ట్ చేశారు. ఆపరేషన్ అనంతరం కొద్దిరోజులకు ఎల్లా ఆస్పత్రి నుంచి డిశ్చార్జ్ కాగా.. ఎప్పటికప్పుడు ఆమె గుండె రేటును పర్యవేక్షిస్తుండాలని డాక్టర్లు చెప్పారు.
మరిన్ని ట్రెండింగ్ న్యూస్ కోసం క్లిక్ చేయండి