
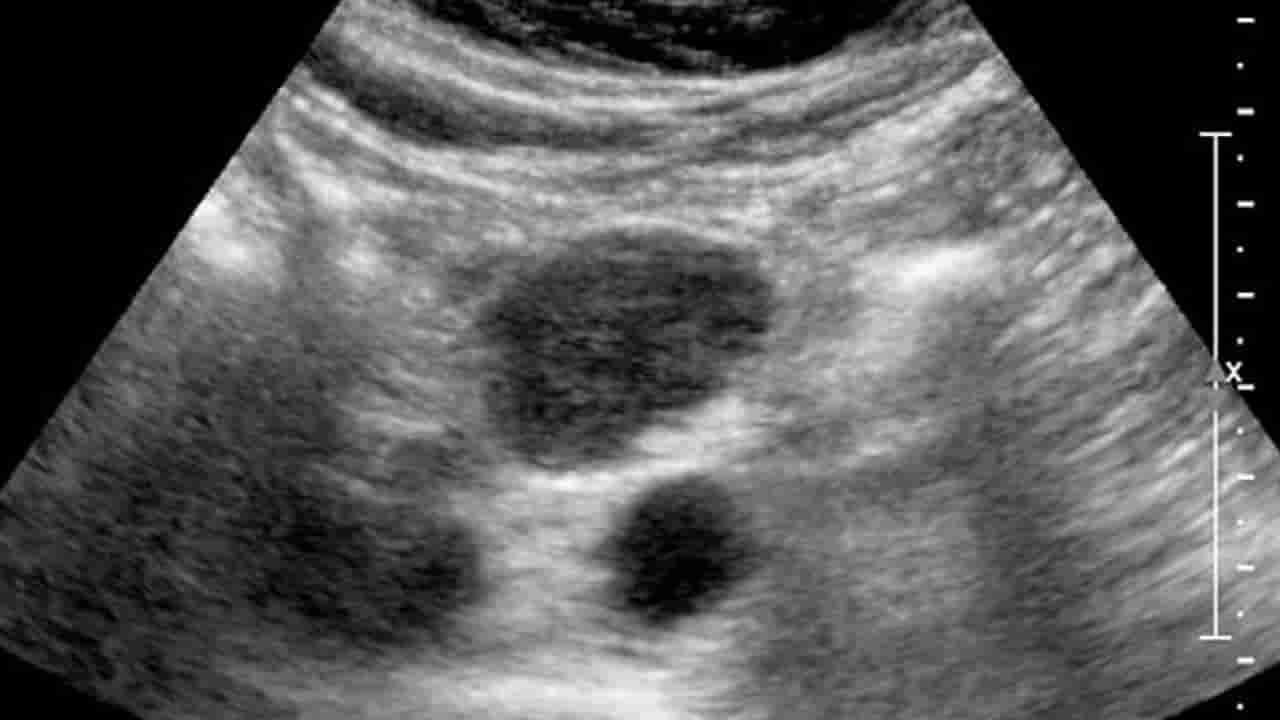
ఇదో విచిత్ర ప్రపంచం. ఎప్పుడు.. ఎక్కడ ఎలాంటి వింత బయటపడుతుందో చెప్పలేం. తాజాగా జార్ఖండ్లో ఓ యువకుడి కడుపులో గర్భాశయం, ఫెలోపియన్ నాళాలు, అండాశయం వంటి స్త్రీ పునరుత్పత్తి అవయవాలను గుర్తించారు వైద్యులు. ఆపరేషన్ చేసి వాటిని తొలగించారు. ఇది అత్యంత అరుదైన ఘటన అని తెలిపారు. ఝూర్ఖండ్లోని గొడ్డా జిల్లాకు చెందిన 22 ఏళ్ల యువకుడికి కడుపులో విపరీతమైన నొప్పి వచ్చింది. దీంతో వెంటనే ఆస్పత్రికి వెళ్లాడు. అక్కడ టెస్టులు చేసిన డాక్టర్లు.. అల్ట్రాసౌండ్ స్కానింగ్ చేసి.. పురుషాంగం వద్ద హెర్నియా ఉన్నట్లు ఐడెంటిఫై చేశారు. రైట్ సైడ్ వృషణం కూడా లేదని నిర్ధారించుకున్నారు.
దీంతో హెర్నియాను రిమూవ్ చేసేందుకు ఆపరేషన్ చేశారు. అయితే శస్త్రచికిత్స చేస్తుండగా వైద్యులు స్టన్ అయ్యారు. యువకుడి కడుపులో అండాశయం, గర్భాశయం, ఫెలోపియన్ నాళాలు ఉన్నట్లు గుర్తించి నిర్ఘాంతపోయారు. ఆపై కుటుంబ సభ్యుల అంగీకారంతో.. ఆపరేషన్ చేసి అతడి శరీరంలోని.. స్త్రీ పునరుత్పత్తి అవయాలను సైతం రిమూవ్ చేశారు.
పెర్సిస్టెంట్ ముల్లెరియన్ డక్ట్ సిండ్రోమ్ కారణంగా పురుషుల్లో.. స్త్రీ పునరుత్పత్తి అవయవాలు అభివృద్ధి చెందుతాయని డాక్టర్లు తెలిపారు. ప్రజంట్ యువకుడి ఆరోగ్య పరిస్థితి నార్మల్ గానే ఉందన్నారు. బాధిత యువకుడి వివరాల విషయంలో గోప్యత పాటించినట్లు తెలిపారు. అయితే ఇప్పటివరకు ప్రపంచ వ్యాప్తంగా దాదాపు 200 మంది పురుషులు ఇలా గర్భశయాన్ని కలిగి ఉన్న కేసులు వెలుగు చూశాయని డాక్టర్లు తెలిపారు.
మరిన్ని జాతీయ వార్తల కోసం..