Viral: ఏం తిన్నా వాంతులే, కడుపులో చిత్రవిచిత్ర శబ్దాలు.. CT స్కాన్ చూసి కళ్లు తేలేసిన డాక్టర్లు
ఓ యువతి పొత్తి కడుపు ఉబ్బిపోయి కనిపించింది. ఆమెకు చిన్నతనం నుంచి ఓ వ్యాధి ఉంది. కడుపు నొప్పితో బాధపడుతున్న ఆమెను హుటాహుటిన ఆస్పత్రికి తీసుకెళ్లారు కుటుంబ సభ్యులు. ఆపై జరిగిందిదే.. మరి ఆ స్టోరీ ఏంటో ఇప్పుడు తెలుసుకుందామా. లుక్కేయండి.

కొందరికి చిన్నప్పటి నుంచి చాక్పీస్లు తినడం అలవాటు.. మరికొందరు ఏ వస్తువు దొరికితే దాన్ని నోట్లో పెట్టేసుకుంటారు. అయితే ఇది చిన్నతనం కదా అందుకే ఇలా చేస్తున్నారని అనుకుంటే పొరపాటే.. అదొక వ్యాధి. ఇలాంటివారు ఉంటే కచ్చితంగా వెంటనే వైద్యుల దగ్గరకు తీసుకెళ్లాల్సిందే. సరిగ్గా ఈ కోవకు చెందిన ఓ స్టోరీపై ఇప్పుడు లుక్కేద్దాం.
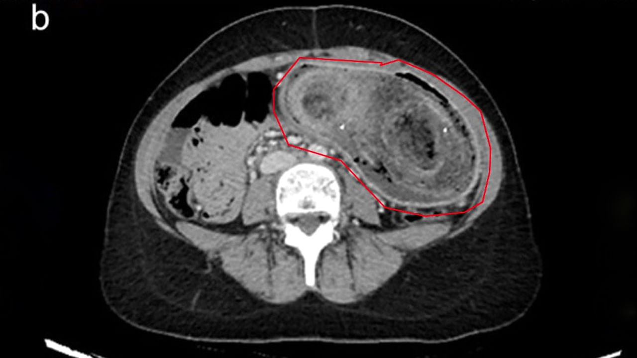
వివరాల్లోకి వెళ్తే.. 17 ఏళ్ల యువతి కడుపులో ఓ పెద్ద వెంట్రుకల ముద్దను చూసి వైద్యులు షాక్ అయ్యారు. కడుపునొప్పితో బాధపడటమే కాకుండా.. పదేపదే వాంతులు చేసుకుంటుండటంతో ఆమెను హుటాహుటిన ఆస్పత్రికి తరలించారు. ఇక చికిత్స చేసిన డాక్టర్లు.. ఆమెకు ‘పికా’ అనే వ్యాధి ఉన్నట్టు గుర్తించారు. ఆహారంగా కానివి తినాలనిపించే కోరిక.. ఈ వ్యాధిగ్రస్తులకు ఉంటుందట.
ఫలితంగా ఆ యువతి చాలా సంవత్సరాలుగా జుట్టును తినేది. డాక్టర్లు పరీక్షలు చేయగా.. ఆమె పొత్తికడుపులో ఉబ్బి కనిపించింది. ఆ ప్రదేశంలో వెంట్రుకల ముద్ద ఉన్నట్టు గుర్తించారు. ఆపై ఎండోస్కోపిక్ ద్వారా దాన్ని తొలగించారు వైద్యులు. మూడు గంటల పాటు ఈ శస్త్రచికిత్స జరిగింది. కాగా, చికిత్స చేసిన నాలుగు రోజుల తర్వాత ఆమెను డిశ్చార్జ్ చేయగా.. ఆ తర్వాత మానసిక నిపుణులతో కౌన్సిలింగ్ ఇప్పించారు.
